当前位置:学院新闻
【喜讯】我校学生在首届“形态与艺术”显微摄影图片展中喜获佳绩
作者:葛盈盈
校对:唐蒋云露
审核:罗彬
来源:基础医学院
发布时间: 2023-08-13
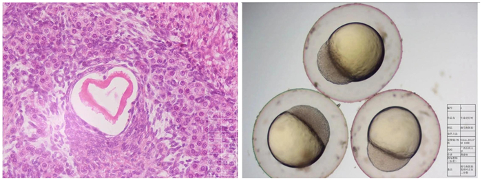
近日,首届中国解剖学会组织学与胚胎学分会“形态与艺术”显微摄影图片比赛结束,我校组织学与胚胎学教研室葛盈盈老师指导、2022级临床医学(5+3)1班龚嘉怡同学的两幅作品《我依然爱你》与《生命进行时》分别获得“年度最佳图片H&E染色特等奖”和“优秀图片一等奖”。
此次比赛吸引了来自复旦大学、中山大学、华中科技大学、吉林大学、首都医科大学、暨南大学等68所高校和科研单位共计380份作品参赛。经专家首轮评选,共有63幅作品入围决赛,经公开投票和组胚分会委员投票产生最终获奖名单。
我校组织学与胚胎学教研室历来重视教育教学改革,每年举办显微摄影比赛,不仅培养了学生对微观结构的辨识能力,同时将美学教育与科学精神紧密结合,将“德医交融”理念贯穿于教学当中。在基础医学院的大力支持下,组胚教研室组织并指导学生参加此次比赛,参赛作品的科学性、艺术性和人文性得到了评选专家和与会学者的一致好评,获奖作品从不同视角展示了微观世界的独特之美,体现了医学生对生命的热爱。

获奖作品


获奖证书

